Being a good Samaritan may pay off even more than you thought. While donating blood is a selfless act that can save lives and help address an urgent public health need in the U.S., there might be a good selfish reason to do it, too.
A new study from researchers at the Francis Crick Institute in London determined that giving blood often may result in genetic changes in our blood stem cells that help prevent cancers like leukemia from developing. When comparing frequent donors (individuals who gave blood three times annually over 40 years) to sporadic ones (those who gave blood fewer than 10 times total), the scientists found that the former were more likely to have favorable genetic mutations in their stem cells.

“Our work is a fascinating example of how our genes interact with the environment and as we age,” senior author Dominique Bonnet said in a news release. “Activities that put low levels of stress on blood cell production allow our blood stem cells to renew and we think this favors mutations that further promote stem cell growth rather than disease.”
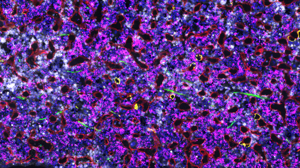
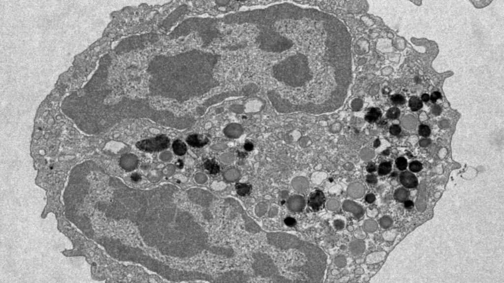
Analyzing blood from over 200 men in each category, the scientists zoomed in on hematopoietic stem cells (HSCs), aka blood stem cells. These cells naturally mutate as we age, which leads to clones with subtly different genetic makeup, a process known as clonal hematopoiesis. While this is normal, certain mutations can cause blood cancers.
Giving blood didn’t affect the cells’ likelihood of undergoing clonal hematopoiesis — it was found to be just as common in frequent donors versus sporadic. However, the researchers noticed that the genetic makeup of blood cells in each group varied when it came to a gene called DNMT3A, which is known to mutate in people who develop leukemia.

This finding spurred the team — who collaborated with scientists in Heidelberg, Germany, with the help of the German Red Cross Blood Donation Center — to conduct follow-up experiments. They decided to edit human HSCs using CRISPR, and then implant the edited cells in mice. The result? When the mice that had blood removed were then exposed to stress imitating that of frequent blood loss, the cells with DNMT3A mutations produced red blood cells to recoup blood supply, and those new cells didn’t turn cancerous.

“Our sample size is quite modest, so we can’t say that blood donation definitely decreases the incidence of pre-leukemic mutations and we will need to look at these results in much larger numbers of people,” Bonnet said. “It might be that people who donate blood are more likely to be healthy if they’re eligible, and this is also reflected in their blood cell clones. But the insight it has given us into different populations of mutations and their effects is fascinating.”
While the researchers can’t yet say for sure that donating blood often makes you less likely to develop leukemia, they theorize that doing so can reduce your chances of developing early blood cancer mutations.
“We had to look at a very specific group of people to spot subtle genetic differences which might actually be beneficial in the long-term,” said Hector Huerga Encabo, postdoctoral fellow in the Haematopoietic Stem Cell Laboratory at the Crick. “We’re now aiming to work out how these different types of mutations play a role in developing leukemia or not, and whether they can be targeted therapeutically.”
Stories like this remind us of the power of human ingenuity and compassion. In a world where headlines are often dominated by negativity, it is refreshing to see developments that inspire hope and positive change. The story behind why donating blood frequently may reduce your risk of cancer is one that resonates with people across different backgrounds and cultures, highlighting the universal desire for progress and connection.
Medical breakthroughs continue to reshape our understanding of human health. Researchers around the world are collaborating on innovative treatments and preventive measures that could improve the quality of life for millions of people. From advanced diagnostic tools to personalized medicine, the healthcare landscape is evolving at a remarkable pace. These developments are not just about extending lifespans but also about enhancing the daily well-being of individuals living with chronic conditions or facing new health challenges.
Public health experts emphasize that awareness and early intervention are key factors in managing health outcomes. Community health programs, educational initiatives, and accessible healthcare services play a vital role in ensuring that advancements reach the people who need them most. The integration of technology into healthcare delivery has also opened new possibilities for remote monitoring, telemedicine consultations, and data-driven treatment plans that can be tailored to individual needs.
Scientific discovery has always been driven by curiosity and the desire to understand the world around us. Modern research tools and international collaboration have accelerated the pace of discoveries, leading to breakthroughs that would have been unimaginable just a few decades ago. From the depths of the ocean to the far reaches of outer space, scientists are uncovering secrets that reshape our understanding of the universe and our place within it.
The importance of funding scientific research cannot be overstated. Government grants, private foundations, and university programs all contribute to creating an ecosystem where innovative ideas can be tested and validated. Public engagement with science through museums, documentaries, and educational outreach programs helps build a society that values evidence-based thinking and supports the continued pursuit of knowledge for the benefit of future generations.
Wildlife conservation efforts have gained significant momentum in recent years as more people recognize the importance of protecting biodiversity. From habitat restoration projects to breeding programs for endangered species, conservationists are working tirelessly to ensure that future generations can experience the rich diversity of animal life on our planet. The connection between healthy ecosystems and human well-being has become increasingly clear, driving both policy changes and grassroots action around the world.
Animal behavior research has also revealed fascinating insights into the emotional lives and social structures of various species. Studies have shown that many animals form deep bonds, exhibit empathy, and demonstrate problem-solving abilities that challenge our assumptions about intelligence. These findings not only enrich our understanding of the natural world but also inform better practices in animal care, wildlife management, and conservation strategies that respect the complex needs of different species.
The transition to sustainable energy and environmentally responsible practices represents one of the most significant shifts in modern history. Communities around the world are embracing renewable energy sources, reducing waste, and reimagining how we interact with the natural environment. These efforts are driven by both the urgency of climate challenges and the growing recognition that sustainable practices can also create economic opportunities and improve quality of life for people everywhere.
Education and awareness play crucial roles in driving environmental change. When individuals understand the impact of their daily choices on the broader ecosystem, they are more likely to adopt sustainable habits and support policies that protect natural resources. From school programs teaching children about conservation to community initiatives that promote recycling and responsible consumption, every effort contributes to building a more sustainable future for all.
Art and creative expression have always played a fundamental role in how we process emotions, communicate ideas, and build connections across cultures. Whether through visual arts, music, literature, or performance, creative works have the power to inspire, challenge, and heal. In an increasingly digital world, artists are finding new ways to reach audiences and create experiences that bridge traditional and contemporary forms of expression.
Supporting the arts through public funding, community spaces, and educational programs is essential for maintaining a vibrant cultural landscape. Studies have consistently shown that engagement with the arts improves mental health, enhances cognitive abilities, and strengthens community bonds. By valuing and investing in creative endeavors, societies foster innovation, empathy, and a sense of shared identity that enriches the lives of all their members.
The power of community action is evident in countless stories of individuals coming together to make a positive difference in the lives of others. Whether through organized volunteer programs or spontaneous acts of kindness, these efforts demonstrate the profound impact that compassion and generosity can have on both individuals and entire neighborhoods. Research has consistently shown that communities with strong social connections experience better health outcomes, lower crime rates, and greater overall life satisfaction.
Building stronger communities requires intentional effort and ongoing commitment from people of all ages and backgrounds. Mentorship programs, neighborhood gatherings, and collaborative projects create opportunities for meaningful connection and mutual support. In an era where digital communication often replaces face-to-face interaction, the importance of fostering genuine human connections through community engagement has never been more apparent or more necessary.
Looking ahead, developments like the one described in this story offer a glimpse into a future filled with possibility and positive change. While challenges certainly remain, the creativity, determination, and compassion demonstrated by the individuals and organizations involved serve as a powerful reminder that progress is always within reach when people are willing to work together toward a common goal.
As we continue to navigate the complexities of modern life, stories like these provide both inspiration and practical examples of how innovation, kindness, and perseverance can make a real difference. By sharing and celebrating these achievements, we not only honor the efforts of those involved but also encourage others to pursue their own ideas for creating positive change in their communities and beyond.
RELATED: “Hungry” Fat Cells Could Fight Cancer by Devouring Tumors’ Food Sources, Study Suggests
